Optikusnervenscheiden-Durchmesser-Sonografie: Gefährlichen Hirndruck erkennen
Immer wieder starke Kopfschmerzen, Sehstörungen oder Übelkeit: Hinter solchen Symptomen kann sich ein gefährlich erhöhter Hirndruck verbergen. Eine kurze Ultraschalluntersuchung am Auge – die sogenannte Optikusnervenscheiden-Sonografie (ONSD) – ermöglicht es, diesen Hirndruck schnell, schonend und ohne Strahlenbelastung zu erkennen.
Die Deutsche Gesellschaft für Ultraschall in der Medizin e. V. (DEGUM) weist darauf hin, dass die Methode bedeutende Vorteile für die Diagnose, Behandlung und Verlaufskontrolle neurologischer Erkrankungen bietet und künftig stärker in der klinischen Routine verankert werden sollte.
Veränderungen an der Hülle des Sehnervs
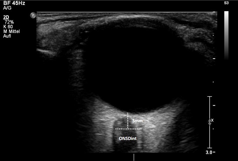
„Die Optikusnervenscheiden-Sonografie ist ein einfach anwendbares, nicht-invasives und hochrelevantes Verfahren, mit dem sich ein erhöhter Hirndruck frühzeitig feststellen lässt“, sagt Professor Dr. Michael Ertl, Leiter der Sektion Neurologie der DEGUM. „Unser Ziel ist, damit Diagnosen zu beschleunigen, unnötige Eingriffe zu vermeiden und die Prognose der Patientinnen und Patienten zu verbessern.“ Beim ONSD-Ultraschall wird ein passender Schallkopf sanft auf das geschlossene Augenlid aufgesetzt. Die Untersuchung macht sich zunutze, dass sich Veränderungen in der Regel an der Hülle des Sehnervs zeigen, wenn der Druck im Schädelinneren steigt. Für die Betroffenen bedeutet das: keine Strahlenbelastung, keine Schmerzen, kein Eingriff.
Bislang wurde ein erhöhter Hirndruck meist mit computertomografischen oder magnetresonanztomografischen Aufnahmen (CT oder MRT) oder durch eine invasive Liquordruckmessung über eine Lumbalpunktion festgestellt. Diese Verfahren liefern zwar sehr genaue Ergebnisse, sind jedoch zeitaufwändig, belastend oder nicht überall sofort verfügbar. „Die Optikusnervenscheiden-Sonografie bietet hier eine wertvolle, patientenschonende Ergänzung, insbesondere in Notfallsituationen oder wenn eine invasive Messung nicht möglich ist“, erklärt Ertl. „Und auch in Notfallsituationen, in denen eine aufwändige oder invasive Untersuchung nicht sofort möglich ist, liefert der Ultraschall schnell eine verlässliche Einschätzung“, so Ertl. Das Verfahren eignet sich nicht nur für akute neurologische Notfälle, sondern auch für die Verlaufsbeobachtung – etwa nach Kopfverletzungen, bei Hirnblutungen oder nach einer Wiederbelebung.

© DEGUM/Michael Ertl
Pseudotumor cerebri: Sehstörungen durch den Druck auf den Sehnerv
Ein Beispiel für eine Erkrankung, bei der der ONSD-Ultraschall besonders hilfreich ist, ist der sogenannte Pseudotumor cerebri (medizinisch: idiopathische intrakranielle Hypertension). Dabei kommt es zu einem erhöhten Hirndruck, ohne dass ein Tumor, eine Blutung oder eine andere erkennbare Ursache vorliegt. Typische Symptome sind lageabhängige Kopfschmerzen, die im Liegen zunehmen sowie Sehstörungen durch den Druck auf den Sehnerv. „Diese Erkrankung wird leider oft erst spät erkannt, weil die Symptome – wie Kopfschmerzen oder Sehstörungen – zunächst unspezifisch sind und leicht anderen Ursachen zugeschrieben werden“, so Ertl. „Dabei lässt sie sich gut behandeln, wenn sie rechtzeitig diagnostiziert wird.“ „Übergewicht ist der wichtigste Risikofaktor“, erklärt der Neurologe aus Günzburg. Therapeutisch stehe daher Gewichtsreduktion an erster Stelle. Akut könne der Hirndruck durch das Ablassen von Nervenwasser gesenkt werden. „Gerade hier kann der Ultraschall helfen, die Erkrankung früher zu erkennen und die Behandlung rechtzeitig einzuleiten“, so Ertl weiter.
DEGUM unterstützt Ausbildung und Leitlinienarbeit
Internationale Fachgruppen, in denen die DEGUM maßgeblich mitgearbeitet hat, haben bereits einheitliche Mess- und Qualitätsstandards für die ONSD-Sonografie definiert. Um die Methode bundesweit zu etablieren, bietet die DEGUM Aus- und Weiterbildungskurse für Ärztinnen und Ärzte an, in denen die Untersuchung praktisch erlernt werden kann. „Die ONSD lässt sich mit überschaubarem Aufwand verlässlich erlernen – entscheidend sind strukturierte Schulung und Qualitätssicherung“, betont Ertl. Zugleich arbeitet die Fachgesellschaft an einer eigenen Leitlinie, um die Methode künftig fest in den medizinischen Standards zu verankern.
Quelle: DEGUM